40 cours de Verdun 33000 Bordeaux
05 56 44 02 12

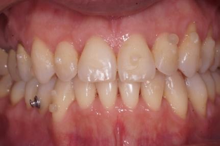
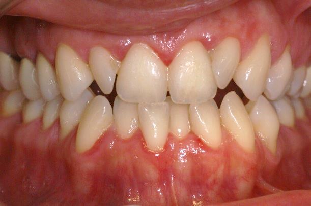
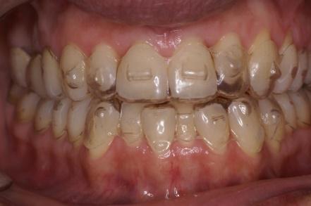
Les gouttières

Traitement par gouttières invisibles

Un traitement discret et efficace

C’est un traitement d’orthodontie sur mesure comprenant une série d’aligners ou gouttières transparentes et amovibles destinés aux adultes et aux adolescents.

Le système Invisalign repose sur le plan de traitement du praticien et l’utilisation d’un logiciel en 3D (Clincheck®) permettant la planification, le suivi et le déplacement efficace des dents jusqu’à la position finale désirée par le praticien.

Avantages pour le patient

  • Les aligners fabriqués sur mesure sont portés 18h/24h; ils s’enlèvent uniquement pour boire, manger et se brosser les dents.
  • Chaque aligner est porté pendant 7 jours (parfois plus).
  • Grande liberté alimentaire.
  • Le brossage et l’hygiène sont améliorés.
  • L’utilisation est simple et confortable.
  • Confort en société.
  • Esthétique.

Planification du traitement : les rendez-vous

  1. Les empreintes numériques optique du patient sont numérisées en 3D
  2. Le logiciel ClinCheck utilise le plan de traitement pour calculer le résultat final, les mouvements à effectuer, et toutes les étapes du traitement déterminant ainsi le nombre d’ALIGNERS
  3. Vous aurez rendez-vous avec votre praticien environ toutes les 6 à 8 semaines soit entre 6 et 8 aligners pour surveiller l’évolution et recevoir les nouveaux aligners
  4. Des aligners de finition sont souvent commandés et compris dans le devis initial.

Nombre de gouttières

La durée moyenne d’un traitement peut varier de 8 à 15 mois selon la complexité d’un traitement

Le nombre d’aligners est en relation avec la sévérité de la malocclusion

  • < 7 gouttières traitement simple faible encombrement dentaire
  • de 7 à 14 gouttières traitement avec encombrement modéré
  • > à 14 gouttières traitement avec encombrement sévère

Quelles sont les limites ?

Les traitements plus complexes pourront être envisagés avec l’aide d’accessoires (bagues partiels, mini implants, boutons, potences, élastiques) associés aux aligners. Des traitements avec des extractions peuvent être réalisées dans les cas avec un manque de place important.
Dans ces cas nous plaçons dans les aligneurs des dents artificielles de couleur proche des dents naturelles.