40 cours de Verdun 33000 Bordeaux
05 56 44 02 12

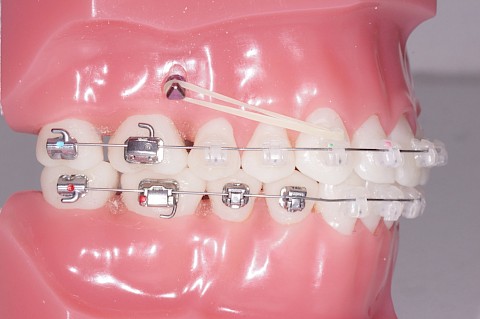
Les mini-implants d'ancrage

Au service du succès

Pour moins d'extractions et moins de coopération pour atteindre plus sûrement et en moins de temps les objectifs thérapeutiques

Le mini implant est un système d’ancrage intra osseux vissé .

Contrairement aux implants dentaires l’ostéointégration, c'est-à-dire la soudure à l’os est partielle et moins résistante. Son emplacement est fixé par l’orthodontiste et soumis au praticien réalisant l’acte chirurgical, celui-ci analyse avec une radiographie le site implantaire (hauteur osseuse, racines, sinus)

Intérêt

Réduire le temps de traitement et simplifier le traitement orthodontique
Éviter le port d’appareil de nuit extra oral

Acte chirurgical

Sous anesthésie locale légère
Forage accessoire, vissage du micro implant : temps 30 minute par micro implant

Facteurs de réussite

L’implant doit être stable dés la pose (on parle de stabilité primaire), la qualité de l’os en dépend.
Si l’implant est mobile, on recherche un autre site plus favorable lors de la même séance.
Le taux d’échecs est de 10%.

Suites opératoires

Temps de cicatrisation 48H
Il faut éviter toute inflammation autour de l’implant, donc une très une bonne hygiène buccale ( bain de bouche de bouche, jet dentaire )
Il est recommandé d’appliquer sur la gencive autour du micro implant un gel anti-inflammatoire
Une compresse avec de la chlorhexidine est utilisée en application sur le micro implant, une brosse à dent souple est utilisée du coté du micro implant.
Il faut éviter de toucher le mini implant avec les doigts, la langue.

Si douleur : Antalgique (voir ordonnance)
Si la douleur persiste après 1 semaine, si le micro implant est mobile il faut nous consulter rapidement.

La dépose

La dépose est très simple en raison de l’absence de soudure totale à l’os, elle se fait sans anesthésie.