Traitements enfants & ados
Traitement préventif dès 5 ans
Ils permettent d’intervenir en douceur sur les habitudes et postures de l’enfant pour corriger les défauts d’occlusion et malpositions dentaires. L’objectif de ce traitement précoce est d’éviter dans la mesure du possible les éventuels traitements orthodontiques compliqués. Ils simplifient la pose future de bagues ou en suppriment tout bonnement la nécessité quand l’enfant sera adolescent.
Ce sont des traitements courts, d’une durée moyenne de 6 mois environ. Ils peuvent contribuer à limiter certaines pathologies comme les otites à répétition, les rhinopharyngites, ou encore les troubles du sommeil et certains troubles comportementaux dus à l’insuffisance de ventilation nasale comme le Syndrome d’Apnée du Sommeil. SAOS
Les appareils d’orthopédie dento-faciale utilisés pour cette tranche d’âge sont légers et très simples : ils rétablissent l’alignement dentaire en utilisant les mouvements des muscles lors des différentes fonctions naturelles (élocution, mastication, déglutition).
Traitement interceptif de 7 à 11 ans
Nous recommandons une première évaluation des jeunes en croissance vers l’âge de 7 ans.
À cet âge, plusieurs dents permanentes sont sorties et le développement des mâchoires et du visage est assez avancé pour que certains problèmes orthodontiques soient identifiés et intercepté
L’examen portera sur le développement du visage , des mâchoires , de la denture et des fonctions musculaires.
Surveillance
Lors de l’évaluation initiale, si rien de majeur ou d’anormal nécessitant une intervention n’est décelé, l’enfant sera placé sous “observation” et évalué à nouveau à intervalles réguliers de 12 à 18 mois pour suivre l’évolution de sa dentition.
Interception
Par définition, l’interception signifie “arrêter, modifier ou interrompre l’évolution ou la progression prévue”.
Face à une dysmorphose notre intervention portera sur la déformation squelettique, dentaire et musculaire .
Les interventions les plus courantes
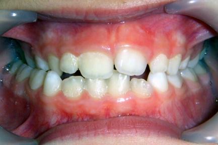
Manque de coordination de la largeur des mâchoires et des arcades, par constriction supérieure avec déviation de la mâchoire inférieure.
Décalage horizontal ( dents antérieures en avant ou en arrière) et vertical ( béance dents antérieures qui ne se touchent pas) sévère entre la mâchoire supérieure et inférieure.
Il est souhaitable de modifier la quantité et de rediriger la croissance de la machoire maxillaire et ou mandibulaire. Une approche consiste à proposer une phase interceptive en denture mixte, suivie d’une phase de surveillance puis d’une phase d’alignement en denture adolescente.
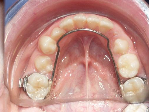
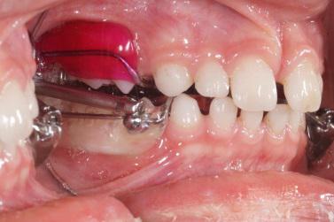
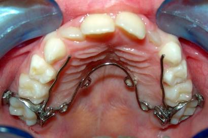
Le populseur universel est un appareil qui peut s'enlever, qui a pour but de corriger le décalage de la mandibule.
C'est un appareil qui permet plusieurs actions en même temps, qui est discret et esthétique sans barre vestibulaire externe sur les dents antérieurs.
Le traitement est non douloureux et moins invasif que certaines autres solutions. Il doit être porté 22 heures sur 24 (c'est à dire l'enlever lors d'une activité sportive ou pour manger).L’adaptation est rapide même s'il est normal qu'il gêne les premiers jours pour parler et avaler sa salive, mais on s'habitue rapidement ! Dans certain cas, il est également normal qu'il ne tienne pas bien sur les dents et qu'il se décroche à l'ouverture de la bouche : c'est son effet ré-éducation linguale et harmonisation fonctionnelle.
Perte d’espace importante due suite à la chute de dents temporaires et migration des autres dents. Il peut être indiqué de retrouver la place perdue pour permettre l’éruption des autres dents.
Prévention des dents incluses extraction des dents de lait et dans certain cas sévère traction précoce des dents incluses canines et incisives
Problèmes fonctionnels de ventilation, déglutition, mastication, phonation, postures faciales et habitudes chroniques de suçage de pouce . La langue a une position naturelle haute, plaquée contre le palais derrière les incisives. Cette position est automatique au repos, lors de la déglutition et de la phonation le bon développement transversal des maxillaires. Ainsi, une position basse de la langue au repos et en fonction entraîne un déficit du développement transversal du maxillaire et à un encombrement dentaire.
La technique fonctionnelle a ici toute sa place
À partir de 11 ans
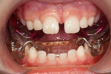
Les traitements sont principalement réalisés avec l’aide d’appareils multi bagues métalliques ou céramiques
La croissance des mâchoires est essentielle au succès de plusieurs traitements, la croissance à elle seule ne corrigera pas les problèmes d’occlusion importants. Lorsqu’une malocclusion dentaire comporte aussi une composante squelettique ou un déséquilibre entre les mâchoires, il est important d’utiliser le potentiel de croissance afin de tenter d’équilibrer la relation entre les mâchoires.
Pour cela des accessoires de type élastiques ou propulseurs sont utilisés simultanément avec les bagues