40 cours de Verdun 33000 Bordeaux
05 56 44 02 12

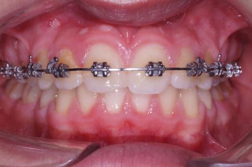
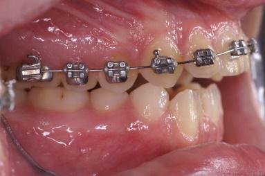
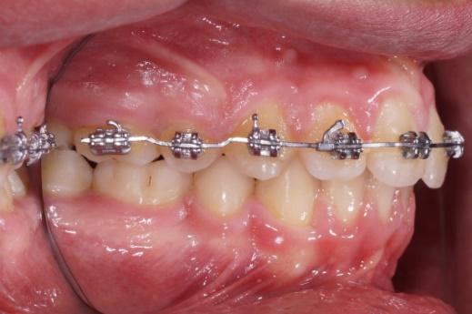
Orthodontie vestibulaire

Les progrès en matériau de collage et en métallotechnie permettent de proposer des appareillages plus modernes métalliques et en céramique pour le confort du patient et une pratique plus aisée

Toutes les bagues sont collées y compris les molaires afin de minimiser les risques de caries des bagues qui entourent les dents.

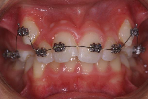
Les arcs orthodontiques

Les arcs orthodontiques moteur de l’appareillage sont au début du traitement de faible diamètre et très élastiques délivrant des forces légères, le matériau est le titane . Les diamètres des fils et leur rigidité augmentent dans les phases suivantes . Le fil est change une fois qu’il a délivré son action , les progrès en metallo-technie permettent de laisser les fils orthodontiques plus longtemps sans perte d’efficacité .

Bagues auto-ligaturantes

Les bagues sont maintenant auto-ligaturantes, il n’existe plus de ligature ( lien bloquant le fil orthodontique dans la rainure de la bague) l’avantage est pratique pour le praticien et moins de gène et une meilleure hygiène pour le patient.

Bagues en céramiques

Les bagues sont maintenant auto-ligaturantes et en céramique

Les accessoires

Les élastiques reliant les dents du haut et les dents du bas seront prescrits par l’orthodontiste, suivant la déformation des mâchoires et la sévérité. Changez vos élastiques au moins une fois par jour, ils ont tendance à se détériorer et perdre leur force après 24 heures.

Les propulseurs permettent de corriger les déformations sévères avec un maximum d’efficacité ce sont des accélérateurs de croissance , ils sont fixes sur les bagues pendant 3 mois puis sont enlevés pour être remplacés par des élastiques.