Le traitement de l'adulte
L’orthodontie “INVISIBLE” a accompli pendant les dernières années des progrès prodigieux.
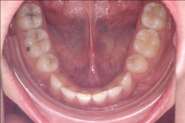
Elle vous permet d’acquérir à tout âge un sourire agréable sans perturber votre vie quotidienne
Les patients adultes recherchent
- Des objectifs clairs partagés avec le praticien
- Un traitement efficace
- Une commodité des heures de rendez vous
- Une bonne communication avec les autres spécialistes
- Un traitement esthétique
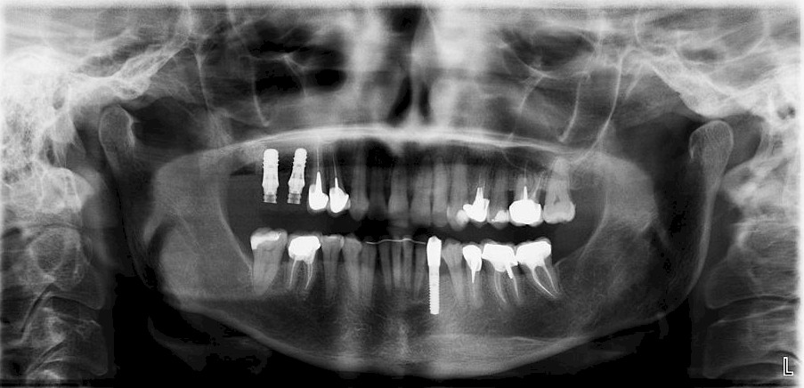
Un travail collaboratif
L’orthodontiste doit travailler en collaboration avec une équipe d’autres spécialistes pour définir un calendrier thérapeutique et donner au patient adulte le meilleur résultat.
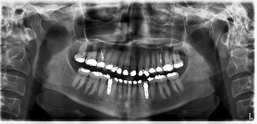
- Intégrer la réalisation des prothèses et des implants
- Diagnostiquer les différents stades de la maladie parodontale (maladie de l’os et des gencives) et des facteurs de risque associés.
- Déterminer les cas nécessitant une intervention chirurgicale orthognathique.
- Diagnostiquer le dysfonctionnement de l’articulation temporo-mandibulaire (douleur de la mâchoire) avant, pendant ou après la dent mouvement.
- Prendre en compte le contexte médical des Apnée du Sommeil
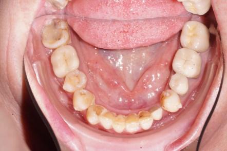
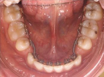
Devant l’importance prise par l’esthétique et par le refus d’un grand nombre de patients “d’afficher”, pendant plusieurs mois un appareil visible deux techniques sont utilisées.
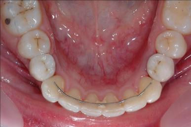
La technique linguale
Totalement invisible les attaches orthodontiques sont collées sur la face linguale
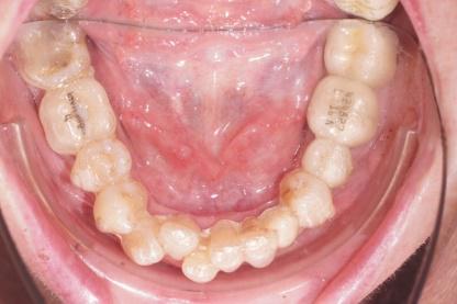
Les aligners
Technique plus récente et très discrète